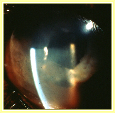
Equine Recurrent Uveitis
Equine recurrent uveitis, also called ERU or ‘moon blindness,’ is a common ocular disease in the equine population. While there is much debate as to the underlying causes of ERU, genetics certainly play a role in many affected breeds of horses, and some systemic or infectious diseases can, as well.
ERU can be a challenging disease to treat. However, if caught early, there are multiple options for the treatment of ERU, and we can prolong vision and comfort for an affected horse for many additional years.
Read More
Understanding Brachycephalic Ocular Syndrome (BOS)
Brachycephalic Ocular Syndrome (BOS) is a clinical condition affecting "flat-faced" dog and cat breeds (e.g., Pugs, Bulldogs, Shih Tzus, and Persian cats). Their unique skull shape results in shallow eye sockets and a flattened facial structure, leaving the eyes protruding and highly vulnerable to injury, dryness, and painful, sight-threatening diseases.
Read More
What Does it Mean to Be a Veterinary Ophthalmologist?
ACVO Welcomed 37 New Board Certified Veterinary Ophthalmologist Diplomates in 2025!
Read More
How to Apply Medications to Your Horse’s Eye
Ocular pain is shown by squinting (downward angling of the eyelashes), tearing, or rubbing the eye in horses. Ocular pain in a horse is ALWAYS an emergency, and that horse should be seen by a veterinarian immediately. If treated appropriately, the majority of ocular issues should resolve within a few days. Horses have bacteria and fungus that routinely live on the surface of the eye. In the case of a corneal scratch or ulcer, these normal inhabitants can invade the wound and cause a serious infection quite quickly. This is why it is so important to seek care urgently, and correctly apply topical eye medications.
Read More
Do Dogs Wear Glasses?
As a veterinary ophthalmologist, in social settings, I get asked this question often: Do dogs wear glasses? The short answer is no, not really.
Read More
WHAT TO EXPECT DURING MY PET’S EYE EXAM: SMALL ANIMAL EDITION
If you have found your way to this article, and you believe that your beloved pet has an eye problem, please know that you can call to make an appointment with a veterinary ophthalmologist without a referral or recommendation from your primary care veterinarian, and even if you don’t have a primary care veterinarian at this time. Simply visit https://www.acvo.org/ophthalmologist-search to find an ophthalmologist near you who can help!
Read More
Eyelid Agenesis in Kittens
Did you know that some kittens are born without the outer corners of their upper eyelids?
This congenital condition is a birth defect called eyelid agenesis, and in these cases, the upper eyelids never develop properly in utero (before birth).
Affected kittens are born without the outermost one to two thirds of their upper eyelid. This can create several problems including inability to blink properly, and irritation from hair on the upper periocular skin (surrounding the eye) as it often contacts the ocular surface. If an animal cannot properly blink, the eye is at risk for exposure related damage and injury.
Read More
MY PET HAS ENTROPION … BUT SURGERY ISN’T FOR US. NOW WHAT?
Your pet has been diagnosed with entropion, which means that the affected eyelid margin is curling inwards upon itself. This allows the haired skin surrounding the eye to painfully contact and abrade the corneal surface. Contact between periocular hairs (hairs surrounding the eyelid margins) and the cornea often results in chronic ocular pain, periocular skin infection, ocular discharge, corneal ulceration, and sometimes, even vision loss.
Read More
Uveitis in Dogs and Cats
Uveitis is an inflammatory process involving the middle layer of the three layers inside the eye (the uvea, comprised of the iris, ciliary body, and the choroid). The inflammatory process causes the blood vessels and other tissues inside the eye(s) to become damaged and inflamed, resulting in the fluid within the eye becoming cloudy. The debris produced by uveitis can block the drainage angle and result in increased intraocular pressure (glaucoma) over time.
Read More
MY DOG IS BLIND… DOES THE EYE HAVE TO COME OUT?
Unfortunately, there are many reasons for dogs to experience blindness. Some dogs are born blind, with multiple congenital ocular abnormalities. Some experience a blinding trauma, blinding glaucoma (elevated intraocular pressure), a blinding cataract, blinding retinal disease… the list is limited only by one’s imagination.
Read More
Enucleation
An enucleation is the surgical removal of an eyeball. An enucleation can feel like an intimidating procedure for most owners. Enucleations are typically recommended if your pet’s eye is very painful (due to glaucoma, corneal perforation, ruptured globe, etc.), or if there is a tumor inside of the eye. Your veterinarian or veterinary ophthalmologist may recommend an enucleation if they feel your pet’s ocular pain is affecting their quality of life.
Read More
CHERRY EYE – SHOULD IT STAY OR SHOULD IT GO?
“Cherry eye” is another way of saying that there is a prolapsed (stuck out) gland of the third eyelid. This prolapsed gland is the main tear producing gland for the eye, and produces between 40—60% of the tear film.
Read More
Blunt Ocular Trauma
Blunt ocular trauma occurs when the eye or globe is impacted by a blunt object. Blunt ocular trauma in animals usually results in severe intraocular damage, and the prognosis in most of these cases is guarded to grave for vision.
Read More
Hyphema
There are many reasons why an eye may look red, but one important cause is hyphema (bleeding into the anterior chamber of the eye). The anterior chamber of the eye is the space between the cornea (clear layer at the front of the eye) and the iris (the colored part of the eye). The anterior chamber is normally filled with aqueous humor, which is clear and devoid of cells.
Read More
Corneal Surgery - When Eye Drops Don't Cut It
The clear surface of the eye is called the cornea and the clarity of this structure is important to maintain vision. Corneal surgery is performed to treat any disease processes which can decrease clarity or threaten the stability of the eye. In horses an inflammatory process called immune mediated keratitis (IMK) can occur which causes cloudiness of the cornea.
Read More
Cataracts Vs. Nuclear Sclerosis
Cloudy eyes can be a major concern for pet owners, especially since cataracts are an important cause of vision impairment in pets. Cataracts and Nuclear sclerosis are the most common causes of clouding of the lens that may be noted by pet owners, but there is sometimes confusion over which condition a pet is affected by.
Read More
Ocular Tumors- What’s Growing on my Pet’s Eye?
Cancerous masses that occur on or within the eye are known as ocular tumors. These tumors can occur on the surface of the eye (corneal tumors) or within the eye (intraocular tumors). Corneal tumors are commonly associated with UV light exposure and occur in lightly pigmented tissue…
Read More
How Many Eyelids Does My Pet Have?
“How many eyelids does my pet have?” quite often. You may have never really stopped to think about it, but dogs and cats, and most mammals and birds have three eyelids! The upper (superior) and lower (inferior) eyelids are the ones you think about when you imagine your pet’s eyelids. So, what is the third eyelid and what does it do?
Read More
ACVO CAER Exams through OFA
Learn more about what an OFA CAER Exam is, what is involved, and other frequently asked questions!
Read More
Plasma Cell Infiltrate of the Third Eyelids
Plasma cell infiltrate of the third eyelids is an immune-mediated ophthalmic disease. The ocular immune system doesn’t recognize the conjunctiva of the third eyelid as part of the eye, causing an inflammatory response. Learn more about this disease and the treatment for it.
Read More