Uveitis in Dogs and Cats

Uveitis in Dogs and Cats

Kelly Sigle, DVM, DACVO

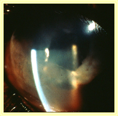
Uveitis is an inflammatory process involving the middle layer of the three layers inside the eye (the uvea, comprised of the iris, ciliary body, and the choroid). The inflammatory process causes the blood vessels and other tissues inside the eye(s) to become damaged and inflamed, resulting in the fluid within the eye becoming cloudy.  The debris produced by uveitis can block the drainage angle and result in increased intraocular pressure (glaucoma) over time.

Once uveitis resolves, glaucoma can remain if drainage structures were permanently scarred or damaged by the inflammation.  This is a non-specific response to many different underlying causes, many of which are systemic diseases (inside of the body).  In order to treat uveitis, it is important to try and discern the underlying cause.  This is often difficult, and approximately 75% of cases fail to obtain a definitive diagnosis.

Uveitis can be broadly classified into a the following categories: (1) Immune-mediated; (2) lens-induced; (3) infectious; (4) secondary to cancer; (5) traumatic. 

Immune-mediated uveitis is the most common cause of uveitis in dogs and cat (comprising approximately 75% of cases).  It is a diagnosis of exclusion, because there is no specific test to diagnose immune-mediated uveitis.  In these cases, the body's own immune system becomes ‘confused,’ and mounts an attack on the eye.  The prevailing thought is that the immune system is triggered by something in the past that has a similar structure to a ‘self’ tissue.  Treatment is typically symptomatic, and may be temporary or life-long.

Lens-induced uveitis arises after a cataract forms in the lens.  If and when a cataract advances to a significant stage of development, it will begin to leak cataractous lens proteins into the eye. Because the lens forms very early in gestation (before the immune system of the body forms), the body sees these lens proteins as foreign, and attacks the eye, causing inflammation. This condition is usually more severe in young animals, and in animals with rapidly progressive cataracts.  It is also common in dogs with diabetic cataracts.  Lens-induced uveitis can usually be controlled with topical eye drops.  In cases where the lens capsule ruptures (and the full contents of the lens are exposed to the immune system), an excessive inflammatory response result that may not be controlled medically.  Secondary glaucoma often results, and enucleation (eye removal) is often warranted.

Uveitis due to infectious disease can result from a long laundry list of infections, most of which are initiated in another part of the body.  Examples in the dog include tick-transmitted diseases (Ehrlichiosis, Rocky Mountain Spotted Fever, and Lyme disease); fungal infections (Blastomycosis and Cryptococcus); as well as various other bacterial and parasitic infections.   In the cat, infectious uveitis can be a consequence of Feline Leukemia Virus, Feline Infectious Peritonitis, Toxoplasmosis, Cryptococcus, and many other diseases.  Based on the findings of the ophthalmic exam and the character of the uveitis, specific infectious tests may be recommended for these infectious agents.  When infectious uveitis is suspected, it is important to try and determine what the specific infectious agent is since each type of infection requires different treatment, these infections can damage other organ systems, and many infections are contagious to other animals, and even people.

Many different kinds of cancer can cause inflammation in the eye.  Primary ocular tumors (tumors that arise from tissue inside the eye) can cause uveitis.  In addition, tumors that arise in other parts of the body can also cause inflammation in the eye.  The most common type of systemic cancer that causes uveitis is lymphoma.  Dogs with lymphoma usually have enlarged peripheral lymph nodes on a physical exam.  If so, a lymph node aspirate is usually diagnostic.  Additional diagnostic tests like X-rays of the chest or abdominal ultrasound may be recommended in these cases.   Other types of cancer often causing uveitis include multiple myeloma, liver masses, lung tumors and splenic masses. 

In any animal, penetrating injuries such as a cat scratch/claw or branches, sticks or plant material may result in traumatic uveitis.  Blunt trauma may also cause uveitis.  Therapy and prognosis will depend on the extent and severity of the damage.  If extensive intraocular bleeding (hyphema) has occurred, the prognosis for vision is usually poor.

At initial presentation, if the underlying cause of the uveitis is not clear based on history or other ocular findings, we will recommend performing general blood work to check for any indication of an abnormality within a specific organ.  We may also recommend more specific testing for individual agents based on the ophthalmic exam.  In cases where an intraocular mass or a retinal detachment is suspected, an ultrasound of the eye may be recommended.  Other tests like chest x-rays and abdominal ultrasound may need to be performed by other veterinary specialists. 

Uveitis must be treated aggressively in order to prevent complications that lead to blindness.    The treatment of uveitis requires therapy to halt the inflammation of the uveal tract along with medications to treat the underlying cause of the inflammation.  Treatment can be more specific if the actual cause is known.

Once we establish an initial course of therapy, we will need to follow up to monitor response, and for any possible complications.  Aside from the risk of secondary glaucoma, uveitis can lead to corneal ulcers (superficial to deep), intraocular infections, corneal scarring, corneal vascularization, corneal mineralization, cataract, lens luxation, retinal detachment and keratoconjunctivitis sicca (dry eye).         

Treatment for uveitis can involve life-long topical and/or oral medications. Life-long topical medications seldom give rise to complications, which occur in less than 5% of these cases. Nevertheless, potential complications include, but are not limited to, conjunctivitis, corneal ulceration (superficial to deep), corneal scarring, vascularization, and mineralization, progressive and uncontrolled inflammation, high pressure within the eye (glaucoma), retinal detachment or degeneration, ocular or orbital pain, eyelid rubbing, bleeding inside the eye (hyphema), tearing (epiphora), and/or lens luxation. Some of these complications can lead to blindness.

Some oral medications used to treat uveitis may cause changes in behavior, gastrointestinal upset (diarrhea, vomiting, decrease/increase in appetite/thirst), panting, decreased white blood cell counts (such as leukopenia), and various changes in chemistry values (liver, kidney,  andpotassium, to name a few).  Your awareness of your pet’s symptoms and compliance with recommendations for recheck examinations and periodic blood work help to control these potential complications. 

Jennifer Oberle